Korszerű fájdalom mentes fogíny kezelés, csiszolás nélküli és beültetett fogpótlás
Beköszöntő
Bizony, bizony több év után elhagyom egykoron szép fogsorom Inyem gyulladt, lassan elsorvadt. Fogam lötyög, több meg kidőlt, kiesett. Kétségbe estem Mit tegyek?
Hűtlenül elhagyott az ifjúság? Nyílik még számomra sok szép virág? Implantációra az Orvoshoz sietek. Foghidat rendelek vagy netán egy fogsort. Rontom bontom, de nincs elég csontom! De csontpótlással megoldani ezt is meglehet. Ha kíváncsi vagy arra, mit válaszol a korszerű fogászat, hogyan és mit kell tennetek, no meg hogy mindezért az újra szép mosolyért majd mit kell fizetnetek, megtudhatod, ha figyelmesen elolvasod az erről szóló tudományos jegyzetet.
Fogászattl kpcsolatos korábbi dolgozatim elérhetősége
Fogaink elvesztése mindannyiunkat megvisel. Nem tudunk jól rágni, nem tudunk egy jóízűt enni, nem tudunk felszabadultan mosolyogni, kényelmetlenül érezzük magunkat, rosszkedvűek vagyunk. A hagyományos fogpótlási módszerek nem mindig képesek megfelelően orvosolni meglévő problémáinkat. A legjobb megoldás lehet ezekben az esetekben az implantátumos fogpótlás!
A svéd Nobel Biocare cég implantátumai segítségével lehetőség nyílt arra, hogy a fenti káros esztétikai hatásokat kiküszöbölhessük az azonnali implantációval.
Ha a foghúzás után az eltávolított fog helyére rögtön beültetjük az implantátumot,
Implantátum alkalmazásának feltételei
Az implantátumok alkalmazásánál az
az ideális, ha a jelölt jó általános szájhigiéniával, egészséges
csontanyaggal és ínnyel rendelkezik. A legtöbb esetben azonban, ahogy
az ember idősebb lesz, van valamilyen eltérés mind a csontozatban, mind az
íny egészségével kapcsolatban. Ezeket szerencsére kezelni tudjuk és az
esetek többségében alkalmassá tudjuk tenni a pácienseket az
implantációs megoldásra. Ezt pontosan az előzetes vizsgálat során tudjuk
megállapítani, ahol kezelési javaslatot adunk, megbeszéljük az előnyöket
és hátrányokat és segítünk, hogy
Ön személyre szabottan a lehető
legjobb megoldást választhassa
https://www.mindentment.hu/fogbeultetes/fog-implantatum
Implantátum kizárólag teljesen egészséges állcsontterületbe helyezhető be. Az esetleges gyulladást, fogágybetegséget vagy szuvasfogat a fogbeültetés előtt kezelni kell. CT-felvétel alapján megállapítható, hogy rendelkezik-e elengedő mennyiségű csonttal az adott területen. Amennyiben nem, meg kell vizsgálni, hogyan végezhető el a szükséges csontpótlás
A fogorvosi implantátum olyan bioanyagból
készített műgyökér, amelyet az elvesztett foga(i) helyére ültetünk be
az előzetesen gondosan megtervezett fogpótlás viselése
céljából. Anyaga a legtöbb esetben tiszta,
ötvözetlen titán. Ha Önnek allergiája van több különböző fémre,
aggodalomra még akkor sincs ok: A titánt teljes mértékben elfogadja az
emberi szervezet. Fogászati implantátum kizárólag megfelelő mennyiségű
csontba ültethető, mivel csak ez biztosítja a művi foggyökér megfelelő
stabilitását. A csonthiány keletkezhet például, ha régebbi a foghiány,
vagy valamilyen fogágybetegség pusztította el a csontszövetet.
A megfelelő csontmennyiség elérhető csontpótlással. A csontpótló anyagok serkentik a csontszövet képződését, majd fokozatosan eltűnnek, helyet adva az újonnan képződő csontállománynak.
Ha fog implantációt tervez a paciens, akkor először a fogágy betegségeket kell kezelni
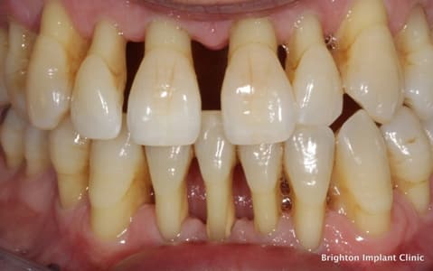
Hogyan ismerheti fel a fogágybetegséget?
Ha ezeket tapasztalja, akkor Önnek beteg az ínye, beteg a fogágy
A szövődmények közé tartoznak a szív- és érrendszeri megbetegedések, a koraszülés, a cukorbetegség és egyéb légzőszervi megbetegedések is.
A betegség forrását a fog gyökerénél kell keresnünk, oda kell lemennünk, a problémát csak ott lehet megoldani, a fogait csak így menthetjük meg.
Ínygyulladás, fogágybetegség esetén egy tasak alakul ki a fog gyökere és az azt körülvevő szövetek között. Ezt a tasakot lepedék és fogkő, valamint gyulladásos szövetek töltik ki, melyek eltávolítása a fogorvos feladata. Ne próbálkozzon vele otthon, csak további fájdalmat, sérülést, gyulladásveszélyt okoz önmagának.
Nyitott és zárt kürettálás teljesen fájdalommentesek. Sok esetben ezen fogmegmentő kezeléseinket lézerfogászati berendezéseinkkel végezzük. Ennek oka, hogy alkalmazásuk garantálja a sokkal gyorsabb gyógyulást, a maximális gyulladáscsökkentést és a fogíny alatt megbúvó baktériumok teljes eltávolítását.
Lézeres kürettálás
Az ínygyulladás és a fogágy betegség megszüntetésére a legalkalmasabb és a legbarátságosabb jelenleg ismert fogászati kezelési módszer a lézeres kürettálás, a lézeres mélytisztítás.
A lézeres kürettálás, a lézeres mélytisztítás célja, hogy az ínygyulladást okozó baktériumokat, a gyulladás miatt már elhalt szöveteket és a gyulladásban lévő szöveteket is maradéktalanul eltávolítsuk, fertőtlenítsük a gyulladt, beteg fogíny részt és a lehető legjobb tudásunk szerint biztosítsuk a lehető legjobb, leggyorsabb és legmaradandóbb gyógyulást.
Ezzel kezelhetjük az ínygyulladást még időben és megelőzhetjük a fogágy betegség kialakulását.
A lézeres mélytisztítás, kürettálás során a lézerfény koncentrált és irányítható energiát szállít a szövetekbe, ahol az elnyelődik, szinte azonnal elpusztítva minden gyulladást okozó baktériumot.
Kutatások bizonyítják, hogy a lézeres mélytisztítás és kürettálás hatékonyabbá, eredményesebbé teszi fogínygyulladás megszüntetését és a fogágybetegség mérséklését, megszüntetését.
A lézeres mélytisztítást, kürettálást célszerű az ínygyulladás megjelenése után a lehető legrövidebb időn belül elvégeztetni a fogorvosunkkal, a lehető leghamarabb megszüntetve a problémát.
Ha húzzuk az időt, azzal csak fogainknak, fogínyünknek és saját magunknak ártunk. Ha nem cselekszünk időben, akkor a fájdalommentes, pár percig tartó kezelés helyett akár évekig is elhúzódó, fájdalmas fogágy betegség elő nézünk, amit már csak nagy nehézségek árán lehet orvosolni.
A Biolase Waterlase iPlus lézerfénnyel és vízzel működik. Ezért használhatjuk fogszuvasodás fájdalommentes lézeres eltávolításához, preparáláshoz, nagyobb szájsebészeti műtétekhez.
Sok esetben elhagyható az érzéstelenítő injekció, például fogszuvasodás kezelésekor. Ez különösen fontos a kisgyermekeknél, felnőtteknél, akik félnek az injekciótól, illetve kismamáknál, akiknél a baba védelmében a lehető legkevesebb külső anyag kerülhet a mama szervezetébe. Kevesebb a vérzés, ami gyorsabb gyógyulást eredményez.
De különösen fontos ez a tulajdonság cukorbetegeknek, akiknél alapvetően a sebek lassabban gyógyulnak, de a lézeres kezelések után náluk is gyorsabb lesz a gyógyulás.
A lézeres fogfúráskor elfelejthetjük a fúró hangját. Helyette halk pattogatott kukorica pattogás hallható csak.
Továbbá gyökérkezeléseknél és fogágy betegség megszüntető kezelésekkor maximális fertőtlenítést tesz lehetővé a lézeres kezelés, amivel a fog biztosan megmenthető, a gyulladt terület gyorsan regenerálódik, a gyulladás megszűnik.
Dr. Fülöp Papp Márta MSc.
Vezető fogorvos, Implantológus, MSc. Lasers in Dentistry
https://naturadent.hu/lezerfogaszat-biolase-iplus-ezlase-ilase/
1056 Budapest, Váci utca 81.
Váci Utca Center I. emelet
Milyen módon kezelhető az
ínyvisszahúzódás (fogíny sorvadás)?
A parodontózis-hajlamot fokozhatják -
különösen nőknél - bizonyos hormonális változások, egyes betegségek
(diabétesz, anyagcsere-betegségek, az immunrendszer gyengesége,
fertőzések) és a helytelen, szénhidrátban nagyon gazdag és rendszertelen
táplálkozás is. Az örökletes tényezők (szöveti felépítésünk, az
állkapocs alakja, fogsor szabályossága) mellett és azzal összefüggésben
kiemelkedő szerepe van a fogak és az íny egészségtelen
terhelésének.
Ha parodontális eredetű a probléma, akkor rendszeres fogágy betegség elleni kezelésekkel az íny gyulladása és visszahúzódása megállítható, az íny újra egészségessé tehető, viszont ezután szükséges az elveszett ínyszövet visszapótlása. A fogágy betegség megszüntetését, a fogágybetegség kialakulásáért felelős baktériumok és tasakok eltávolítását célzó kürettálást, mélytisztítást végezhetjük hagyományos módszerekkel, de rendelőnkben a legtöbb esetben a lézeres fogágybetegség elleni kezeléseket javasoljuk és pácienseink ezt is választják
https://merjmosolyogni.hu/foginysorvadas-oka-tunetei-kezelese
A fogászati lézer alkalmazási lehetőségei
A fogágy
betegségek kezelését sok esetben megnehezíti az a körülmény, hogy a
kezelendő felület nehezen
férhető
hozzá.
A sikeres kezelés egyik legfontosabb
feltétele pedig az, hogy a keletkező tasakok kitisztítása
megfelelő alapossággal
történjen meg.
(A tasak keletkezése az a
jelenség, amely fogínysorvadáskor jön létre és azt eredményezi, hogy az íny elválik a fog felületétől, amivel
teret enged a káros baktériumok megtelepedésének.)
A fogászati lézer ebben a tisztítási folyamatban játszik kulcsfontosságú szerepet, hiszen a lézerkezelés során a vékony lézerdiódát egyenesen a kezelt terület mélyére lehet juttatni, ahol kifejtheti kíméletes fertőtlenítő hatását és elpusztíthatja a káros baktériumokat.
Kürettálás:
Ez egy hatásos eljárás az íny alatti gyulladt szövetek és a gyökércement réteg hatásos eltávolítására, melynek segítségével gyakorlatilag megsemmisülnek az ott élő káros baktériumok. A kezelés végén antiszeptikus gyógyszer kerül az ínytasakokba a baktériumok további kifejlődésének megakadályozására. (Ez a beavatkozás helyi érzéstelenítésben történik, így nem okoz fájdalmat)
A fogágy szöveteit alkotó komplex struktúra csak akkor állítható helyre, ha a sebészi beavatkozás során egy membránt helyezünk el a kezelt területen, ami megakadályozza a hám bekúszását a tasak területére, ahol szépen lassan felépülhet az eredeti fogágy struktúra.
Irányított szövetregeneráció
Ismétlem: a fogágy szöveteit alkotó egészséges állapot csak akkor állítható helyre, ha a sebészi beavatkozás során egy membránt helyezünk el a kezelt területen, ami megakadályozza a hám bekúszását a tasak területére, ahol szépen lassan felépülhet az eredeti fogágy struktúra.

Amikor mindez megtörtént, az íny és a csontállomány elkezd regenerálódni. Azonban a fogínysorvadás kezelése akkor lesz eredményes, akkor kezdődik meg a gyógyulás, ha mindeközben a szájápolásra nagy hangsúlyt fektet a páciens. Emellett, az ultrahangos fogkő eltávolítást érdemes 3-6 havonta megismételni.
A fent leírt módszerek révén a fogínysorvadás és a degeneratív elváltozások kezelhetők, regenerálhatók, ám nagy odafigyelést igényelnek, elsősorban a páciens részéről. Elengedhetetlenül fontos a fogazat folyamatos tisztán tartása, a rendszeres fogkő eltávolítás és a rendszeres fogorvosi ellenőrzés.
A nyitott kürett során helyi érzéstelenítésben végzett kismértékű ínymetszést követően a eltávolítja az íny alatti gyulladásos szövetet és azt a mélyen lerakódott fogkövet, amelyet a zárt kürett során a tasakmélység miatt nem ért el. Erre a beavatkozásra általában akkor kerül sor, ha az OKI kezelés nem hozza meg a várt eredményt. Az 5 mm-nél mélyebb tasakokat szoktuk kinyitni, ilyenkor lehetőség van regeneratív anyag használatára. A Straumann Emdogaint alkalmazzák a mély, vertikális csonttasakok regeneratív ellátása során.
Straumann Emdogain Gél tasakban való elhelyezése
A Straumann Emdogain gél egy speciális regeneratív anyag, amit a fogínysorvadás miatt kialakult tasakok feltöltésére használnak. Ideális esetben 1-2 fogra lokalizálva lehetővé teszi a szövetek regenerálódását. Ezek az anyagok és eljárások meglehetősen költségesek, de ideális szituációban, 1-2 fogra lokalizált elváltozás esetében hosszú távú sikerrel kecsegtetnek.
A fogínysorvadás előrehaladott állapotában szükségessé válhat a sérült fog eltávolítása, ha annak megmentésére már nincs gyakorlati esély. Amennyiben a csontállomány minősége ezt lehetővé teszi, akkor az így elveszített fogakat implantátum beültetéssel lehet pótolni és visszaállítani a fogak rágóképességét és az egészséges mosolyt.
Gyakran felmerül a kérdés, hogy az implantátum nem fog-e ugyanúgy kilazulni mint a saját fog? A fogak rostokkal kötődnek a csonthoz, a fogak és a csont között vékony rés található, ez a parodontium, ennek útján terjed a parodontitis (ami a fogínysorvadást okozza). Mivel az implantátumra közvetlenül ránő a csont, így nincs parodontium így parodontitis sem.
A gyakorlat azt mutatja, hogy ha egy fog körül kialakuló fogínysorvadás miatt rohamos csontlebontódást látunk és ezt a fogat eltávolítjuk, helyére implantátumot helyeznek. A csontlebontódás drámaian lelassul vagy megszűnik. Éppen emiatt fontos megérteni, hogy nem szabad megvárni amíg egy fog teljesen kilazul, mert ilyenkor már a fogbeültetés feltételei is megnehezülnek a csontlebontódás miatt.
A fogínysorvadás a korai stádiumban egy szinte észrevehetetlenen betegség, amelynek súlyos következményei lehetnek. A jó hír azonban az, hogy az időben felismert és rendszeresen kezelt fogínysorvadás visszafordítható és újra kialakulhat egy egészséges állapot. Ezért a tünetek felismerését követően, akkor jár a legjobban, ha a lehető leghamarabb fogágybetegségek kezelésére specializálódott parodontológushoz fordul. Ezzel rengeteg jövőbeni kellemetlenségtől és költségtől tudja megkímélni magát.
Ha fogainak biztonsága és a komolyabb problémák megelőzése az Ön számára is fontos, akkor felkészült parodontológus szakorvos ismerteti majd Önnel a fogágy betegségek sikeres kezelésének módszereit.
A konzultációra a +36 1 3611 222 telefonszámon tud jelentkezni.
Fogíny betegség és kezelése
Legújabb kutatsi eredmények szerint a fogíny gyulladásos betegségei jól kezelhetők fekete áfonya extrakttal
Gum disease is a common condition that, in severe cases, calls for antibiotics. Now, researchers are developing a treatment based on wild blueberry extract that could prevent the formation of dental plaque that leads to gum disease.
Researchers are
developing a treatment to fight gum disease that is based on wild blueberry extract.
A report on the work, by a team from Université Laval in Canada, can be found in the Journal of Agricultural and Food Chemistry.
Many people have some degree of gum inflammation, or gingivitis, that results from the build-up of dental plaque containing bacteria. However, if the inflammation persists, it eventually leads to gum or periodontal disease.
If the bacterial plaque is not removed - for example, by regular brushing and gum care - it leads to a much harder deposit called tartar that only a dental health professional can remove to stop the periodontal disease process.
According to the Centers for Disease Control and Prevention (CDC), nearly half of American adults aged 30 and over have some form of periodontal disease.
In severe cases of periodontal disease, the dentist may also prescribe antibiotics to fight the infection.
What is gum disease? What is gingivitis? What causes gingivitis?
http://www.medicalnewstoday.com/articles/167727.php
Lézeres kürettálás
A lézeres kürettálás, a lézeres mélytisztítás célja, hogy az ínygyulladást okozó baktériumokat, a gyulladás miatt már elhalt szöveteket és a gyulladásban lévő szöveteket is maradéktalanul eltávolítsuk, fertőtlenítsük a gyulladt, beteg fogíny részt és a lehető legjobb tudásunk szerint biztosítsuk a lehető legjobb, leggyorsabb és legmaradandóbb gyógyulást.
Ezzel kezelhetjük az ínygyulladást még időben és megelőzhetjük a fogágy betegség kialakulását.
A lézeres mélytisztítás, kürettálás során a lézerfény koncentrált és irányítható energiát szállít a szövetekbe, ahol az elnyelődik, szinte azonnal elpusztítva minden gyulladást okozó baktériumot.
Kutatások bizonyítják, hogy a lézeres mélytisztítás és kürettálás hatékonyabbá, eredményesebbé teszi fogínygyulladás megszüntetését és a fogágy betegség mérséklését, megszüntetését.
A lézeres mélytisztítást, kürettálást célszerű az ínygyulladás megjelenése után a lehető legrövidebb időn belül elvégeztetni a fogorvosunkkal, a lehető leghamarabb megszüntetve a problémát.

A fogágy betegségek kezelését sok esetben megnehezíti az a körülmény, hogy a kezelendő felület nehezen férhető hozzá.
A sikeres kezelés egyik legfontosabb feltétele pedig az, hogy a keletkező tasakok kitisztítása megfelelő alapossággal történjen meg. (A tasak keletkezése az a jelenség, amely fogínysorvadáskor jön létre és azt eredményezi, hogy az íny elválik a fog felületétől, amivel teret enged a káros baktériumok megtelepedésének.)
A fogászati lézer ebben a tisztítási folyamatban játszik kulcsfontosságú szerepet, hiszen a lézerkezelés során a vékony lézerdiódát egyenesen a kezelt terület mélyére lehet juttatni, ahol kifejtheti kíméletes fertőtlenítő hatását és elpusztíthatja a káros baktériumokat.
A Biolase Waterlase iPlus használatakor az ínygyulladásban szenvedő, kezelt terület kevésbé vérzik, kevésbé duzzad meg, így a kezelés is sokkal kellemesebb, könnyebb. A kezelés utáni fájdalmak sokkal enyhébbek és a gyógyulási folyamat is sokkal gyorsabb. A fogászati lézer tehát vérzéscsillapító hatásának köszönhetően kedvelt eszköz sebészeti beavatkozásoknál is.
Fogíny visszahúzódás (sorvadás)

Amennyiben a fogíny visszahúzódott a fogról, szájsebészeti beavatkozást, ún. tunnel-technikát alkalmazunk arra, hogy a fogíny ismét a szükséges mértékben fedje a fogat. A lézertechnológiát ebben az esetben a gyógyulás elősegítésére alkalmazzuk.
Ha húzzuk az időt, azzal csak fogainknak, fogínyünknek és saját magunknak ártunk. Ha nem cselekszünk időben, akkor a fájdalommentes, pár percig tartó kezelés helyett akár évekig is elhúzódó, fájdalmas fogágy betegség elő nézünk, amit már csak nagy nehézségek árán lehet orvosolni.

Gyakoriak azok az esetek, amikor az ínylehúzódás több fogat is érint. Kiemelten fontos megoldani ezeket a helyzeteket az esztétikai zónában, amikor a frontfogak vannak veszélyben, vagy nagyon érzékenyek. A következő páciens esetében is az előkészítést követően szintén parodontális mikrosebészeti plasztikai beavatkozást végeztünk, csak a fogközök megnyitása nélküli, úgynevezett “tunnel” technikával. A preparált “alagútba” húztuk bele a szájpadlásból kivett kötőszövetes szabadlebenyt, majd speciális varratokat alkalmazva függesztettük fel és pozícionáltuk az ínyt
https://merjmosolyogni.hu/foginysorvadas-oka-tunetei-kezelese
![]() |
![]() |
| Eredmény 7 év után | Kiindulási állapot |
Milyen esetekben lehet szükség csontpótlásra?
A csontpótló anyagok valójában nem pótolják a csontszövetet, hanem serkentik annak képződését azzal, hogy egy vázat képeznek a későbbiekben kialakuló saját csont számára. A
csontpótlók fokozatosan eltűnnek az újonnan képződő csontból, az új szövetek pedig szerkezetüket és funkciójukat tekintve is megegyeznek majd az eredeti csonttal.

A csontállomány pótlásának egyik módja a humán eredetű csontpótló granulátum vagy csontdarab,az úgynevezett „csontblokk” elhelyezése. A kinyert anyagot speciális eljárásokkal tisztítják, fertőtlenítik és sterilizálják. A végerdmény egy szervetlen vázszerkezet, amely főként kalciumból és hidroxil-apatitból áll. Az íny felnyitása után az erősen visszasorvadt területet feltöltjük a granulátummal, vagy kis titán csavarokkal rögzítjük a „csontblokkot”, amely az íny visszazárása után csontosodásnak indul.
Az elhanyagolt fogkő fogínygyulladást okoz. A gyulladás következtében először ínytasakok keletkeznek, majd megkezdődik a csontállomány pusztulása, és a fog instabillá válik. A fog megerősítése vagy helyette implantátum beültetése is csak csontpótlás után lehetséges
Egy másik lehetőség az úgynevezett szintetikus csontpótló anyagok alkalmazása. Ezek az anyagok a csont alkotóelemeihez hasonló, szervetlen alkotórészekből állnak. Megjelenési formájuk lehet granulátum vagy szivacs.
A csontpótolt területet sok esetben a gyógyulás idejére be kell fedni. Ezt úgynevezett membránnal tehetjük meg. Ezek a membránok lehetnek felszívódó vagy nem felszívódó membránok. Szükség esetén a mebránt rögzíthetjük titán szegecsekkel is.
Kisebb csonthiány pótlását az implantátum beültetésével egyidőben végzünk, súlyosabb esetbenazonban minimum 6 hónappal a fogbeültetés előtt.
A csontállomány vesztésnek van egy olyan formája, ami jellegzetesen a felső állcsontot, azon belül is az őrlőfogak területét érinti. Itt található az arcüregnek a fogak fölé eső része. Az arcüreg legalsó síkja és a fogak gyökereinek csúcsa között sokszor csak néhány milliméternyi, vagy még kevesebb csontállomány található, de ezen a téren nagy különbségek mérhetőek. Amennyiben az őrlőfogak eltávolításra kerülnek, idővel a csont vastagsága az arcüreg és a kialakuló nyálkahártyafelszín között egyre csökken. Ennek az az oka, hogy a fogak eltávolítása után a terület nem terhelődik tovább, ezért sorvadásnak indul.
|
|
|
A fog eltávolítása után a csont vastagsága csökken az arcüreg és a nyálkahártyafelszín között |
A sinuslift eljárással megemeljük az arcüreget kibélelő nyálkahártyát, az így keletkezett üreget pedig csontpótlóval töltjük ki |
A csontpótló anyaggal megerősített területbe már be lehet ültetni az implantátumot |
Sinus LiFt műtét (1g csontpótló anyaggal) |
160.000 Ft |
Apollonia Dental Center
1036 Budapest, Kolosy tér 5-6.
Kolosy Üzletház, I. emelet
(+36-1) 430 1940, (+36-30) 678-2682
|
|
|
A csontpótló anyag behelyezéséhez |
A hiányzó csontszövet helyére kerül az Easy-Graft csontpótló granulátum |
Az Easy-Graft használatánál nem szükséges membrán alkalmazása |
Szintetikus csontpótló granulátum, amely néhány hónap alatt teljesen felszívódik, átadva helyét az újonnan képződő csontszövetnek. Tiszta ß-trikalcium-foszfátból készül, amely biztosítja a csontregenerálódást. A granulátumhoz adott bioműanyag (polilaktikus sav), az úgynevezett Biolinker tapadó bevonatot képez a szemcséken, ezért a speciális adagolófecskendővel pontosan, gyorsan, veszteség nélkül helyezhető a kívánt helyre, ahol gyorsan megszilárdul. A sűrű bevonat megakadályozza a baktériumok elszaporodását is. Az Easy-Grafttal történő csontpótlásnál nem szükséges membrán alkalmazása.
Bio-Oss,
Bio-Gide
|
|
|
A csontpótlás elvégezhető az implantátum beültetésével egyidőben |
A Bio-Oss csontpótló granulátum fokozatosan felszívódik |
A gyógyulási időt jelentősen lerövidíti a Bio-Gide membrán használata |
A Bio-Oss csontpótló anyag ausztráliai szarvasmarha csontjának ásványi részéből készül. A feldolgozás során a szerves anyagokat eltávolítják, és csak a kálcium-vegyületeket tartalmazó részt használják fel. A granulátum a gyógyulás során beépül a meglévő csontszövetekbe, majd a szervezet anyagcseréje fokozatosan lebontja, helyet adva az újonnan képződött szöveteknek. A Bio-Gide membrán anyaga állati eredetű kollagén. A kollagén fehérje a bőr és a kötőszövetek fő alkotóeleme. A Bio-Gide membrán elősegíti a sebgyógyulást és lehetővé teszi az optimális csontregenerációt.
Lyoplant
Tiszta kollagénből készült membrán, amely szarvasmarha szívburkából készül. A speciális előkészítési folyamat során az alapanyagot megtisztítják az enzimektől, lipidektől, valamint a nem kollagén fehérjéktől. Az ellenőrzött liofilizációs (fagyasztva szárítás) folyamat biztosítja laza szálszerkezetét, amely az eredeti szövetbe történő legoptimálisabb beépülést teszi lehetővé.
A Lyoplant
mérete: 15x30 mm. Felszívódási ideje 7-14 hét között (átlagosan 9
hét) Implantálást követően a Lyoplant enzimatikus úton lassan
lebontódik, átadva helyét a saját kötőszövetnek. A felhasználási
terület nagyságának megfelelő méretű Lyoplant méretre szabása ollóval
végezhető. Fontos az érintett területre való pontos és feszülés mentes
illesztés. Az adaptálhatóság növelésére behelyezés előtt a membrán
steril fiziológiás sóoldattal átitatható
http://www.titandent.hu/tdi/contents/hu/p9_lyoplant.html
A csontpótló anyagok alkalmazása nem minden esetben szükséges, de gyakran, rutinszerűen alkalmazzák olyan esetekben, amikor használatától jobb eredményt várunk. A csontpótló anyagok a csont összetételének megfelelő ásványi és szervetlen komponensekből tevődnek össze, és arra hivatottak, hogy vázat képezzenek az újonnan képződő csontnak. Ezek az anyagok teljes mértékben beépülnek és nagyon jó minőségű csontot lehet segítségükkel képezni
Zárt és nyitott fogkürett
A zárt küret által a tasakban
képződött fogkövet, lepedéket illetve gyulladásos szövetmaradványokat
távolítunk el speciális műszerek segítségével: minél simább
gyökérfelszín létrehozására törekedve. Csak a tökéletesen sima
gyökérfelszínhez képes a gyulladás mentes íny újra hozzátapadni,
szűrőként védve a fogágyat az újabb bakteriális
inváziótól.

A zárt küret során a fogorvos kézi eszközzel, ultrahangos esetleg lézeres készülékkel feltárja és kitisztítja a baktériumokkal fertőzött területet. Ennek elsődleges célja, hogy a fogínytasakok eltűnjenek és az íny visszatapadjon a fogra. A művelet eredményét néhány hét múlva lehet kiértékelni. Ha a gyulladt terület túl mély, és meghaladja a 6 millimétert, akkor az orvos dönthet úgy, hogy a fogkő mentesítéshez úgynevezett nyílt küretre lehet szükség. Ez már sebészeti beavatkozásnak számít és ebben az esetben a hosszú ideje fennálló, szondával már feltárhatatlan ínytasakok tisztítása történik.
A nyílt kürettálás során a fogíny felső részét eltávolítják a fogtól, hogy így férjenek hozzá a fog gyökeréhez. Ezzel van lehetőség a tasakok teljes mélységig történő tisztítására. A nyílt küret a fog megtartása szempontjából hatékony beavatkozás, de a fognyak ennél a beavatkozásnál a több milliméterrel a lezárt íny fölé kerül, emiatt esztétikai problémák léphetnek fel. Ezen esztétikai beavatkozással lehet a későbbiekben segíteni, de ezzel a lehetőséggel számolni kell.
Amennyiben a kürettálás megfelelően hatékony volt, akkor helyreállhat a kötőszövetes szerkezet, és a fog még hosszú időn keresztül szolgálhat. Viszont nagyon fontos, hogy a jövőben a szájápolást a legnagyobb hatékonysággal kell végezni és szigorúan be kell tartani a rendszeres fogászati kontroll vizsgálatokat, mert a gyulladás hamar kiújulhat.
Foghíd
A fogakra rögzített híd könnyebben sérül, elvesztve stabilitását, értékét Implantátumokon nyugvó fémmentes, porcelán vagy kerámia híd
Ez a jelenlegi legkorszerűbb, leghatékonyabb, legjobb és leginkább javasolt eljárás. Olyan helyeken is alkalmazható, ahol nincs olyan ép fog, amire a kerámia híd rögzíthető lenne. Maga a fogimplantátum adja a stabil pillért a híd mindkét oldalán. Stabilabb, kíméletesebb, sokkal problémamentesebb, mint a természetes fogakra készített, rögzített hidak.
All-on-4 technikát™, melynek kifejlesztése a világhírű implantológus Prof. Dr. Paulo Malo nevéhez fűződik. Az All-on-4™ technika úttörője és szabadalmaztatója az innovatív fogászati megoldások világvezető cége, a Nobel Biocare.
Az implantációt követően – megfelelő primer stabilitás esetén – 4 munkanapon belül hosszú távú ideiglenes rögzített híd készíthető. Az ideiglenes rögzített híd átadása után így igen rövid időn belül visszatérhet megszokott életviteléhez, újra magabiztosan nevethet, étkezhet és az étkezések során erősen rághat. Fél évvel az implantációt követően az ideiglenes híd végleges hídra történő cseréje javasolt.
A végleges híd anyaga többféle lehet, a választás
az Ön esztétikai elvárásain alapul. Természetesen az ideiglenes híd a
végleges fogpótlás elkészítési ideje alatt is hordható.
Csiszolás nélküli fogpótlás
![]() |
![]() |
A fogkorona lecsiszolása annyit jelent, hogy a fogat borító zománcfelszínt megfelelő szabályok szerint lelcsiszoljuk, így ennek helyére kerülhet a borítókorona – porcelánból vagy egyéb anyagból.
A csiszolás nélküli fogpótláshoz a zománcfelszínt nem szükséges eltávolítani, lecsiszolni. A fogpótlás rögzítésére finom kazettákat szükséges fúrni a fogba, mely a csiszolással szemben jóval kevesebb foganyag feláldozását jelenti, lényegesen kevésbé megterhelő, mind a fog, mind a páciens számára, mint a teljes csiszolás. (←Foto)
A hagyományos híd készítésével ellentétben, ahol a fogkorona teljes külső felszínének lecsiszolása szükséges, a csiszolás nélküli fogpótlás technikájával a fogkorona teljes lecsiszolása nélkül egy foghiányt pótolhatunk. A technika lényege, hogy csiszolás helyett a foghiányt határoló fogakban kis kazettákat alakítunk ki, illetve az ott levő tömést alakítjuk át, majd a kazettákban vagy a régi tömések helyén rögzítjük az új fogpótlást.
A csiszolás nélküli fogpótlás könnyű és egyszerű fogpótlási technika, ám megvannak az elkészítés szigorú feltételei. Mivel a foghiány mellett található fogakhoz csak kis felületen ragasztjuk fel a pótlást, ezért ez a fogpótlás típus statikailag gyengébb, mint a hagyományos borítókoronával készülő hidak. Csiszolás nélküli fogpótlás jó eséllyel az alábbi esetekben készíthető:
normál harapási viszonyok szükségesek (túlzottan erős rágás, mélyharapás esetén nem készíthető).
A csiszolás nélküli fogpótlás elkészítésének lépései:
Miért érdemes csiszolás nélküli hidat választani egy kisőrlő fog hiánya esetén?
Mi a csiszolás nélküli híd hátránya?
Az előnyök és hátrányok alapos értékelése után a Páciens a kevesebb foganyag veszteséggel járó, csiszolás nélküli fogpótlás mellett döntött. A döntéshez hozzá járult az is, hogy ez a fogpótlás típus volt a legkedvezőbb áron elérhető megoldás. A csiszolás nélküli pótlás garanciája csupán két év, mivel ez a fogpótlás típus statikailag gyengébb, hiszen a fogpótlás minimális beavatkozással készül, kisebb erő tartja a fogakon, mint a hagyományos, koronás hidat, így cserére gyakrabban lehet szükség.
A fogpótlás egy hét alatt készül el. Első alkalommal minimális fog előkészítés történik, a foghiányt határoló fogakba kis kazettákat szükséges fúrni, ezek tartják majd meg a fogpótlást. A kazetták foganyag igénye jóval kisebb, mint ha a fog felszínét csiszolnánk le koronának – innen az elnevezés: fogpótlás csiszolás nélkül.
Egy héttel később a pótlás erős kémiai ragasztással rögzíthető a kifúrt kazettákba, az eredmény: igényes, esztétikus helyreállítás.
A fogtechnikai munkafázis ebben az esetben gyorsabb, mint a többi fogpótlástípus esetén, hiszen nem szükséges fémváz vagy egyéb váz próbájára várni. A fogpótlás merevítéséért a pótlás belsejében húzódó erős rost, a Construct® szál felel (NASA fejlesztés)
Csiszolás nélküli híd kisebb foghiányok esztétikus kezelésére, kedvező áron, gyorsan, fogkímélő módszerrel!
GRADIA GC®PRETTAU® CIRKON HÍD 191 700Ft
KOMPOZIT HÍD 114 000Ft
BUDAPEST DENTAL ESZTÉTIKAI FOGÁSZAT
Cím: 1137 Budapest, Szent István körút 10.
Tel: 06 1 315 45 45
http://www.budapestdental.hu/Fogaszati_arak/Csiszolas_nelkuli_fogpotlas_arak.html
http://www.fehergyongy.hu/fogpotlas_csiszolas_nelkul_fotoalbum